Használt SonoAce R7 típusú 2D/3D/4D ultrahang készülék

Samsung Medison ultrahang készülékek: SAMSUNG MEDISON
Professzionális SAMSUNG MEDISON ultrahang-diagnosztikai készülékek minden orvosi területre. Szülészeti, nőgyógyászati, radiológiai, echocardiographiai, urológiai, mozgásszervi stb. ultrahang készülékek a hordozható mérettől a csúcsteljesítményű kardiológiai és 2D, 3D, 4D, 5D ultrahangokig. A Samsung Medison egy 1985-ben alakult globális, orvostechnikai berendezéseket gyártó vállalat, a Samsung Electronics leányvállalata. Küldetése, hogy egészséget és jól-létet hozzon az emberek életébe. A vállalat ultrahangos diagnosztikai rendszereket gyárt világszerte, különféle gyógyászati területeken történő felhasználásra. A Samsung Medison hozta forgalomba 2001-ben a Live 3D technológiát, és mivel 2011 óta része a Samsung Electronics-nak, ezért a hatékony és megbízható diagnózisok érdekében ultrahangos eszközeiben felhasználja az informatikai, képfeldolgozási, félvezető és kommunikációs technológiákat is.


Pontos típus: SONOACE R7-EXP
Gyártás éve: 2012
Műszaki állapot: Újszerű
Csak vizsgálófej: Nem
Hány dimenziós: 2D/3D/4D
Hordozható: Nem

A termék ismertetője

Eladva

Használt SonoAce R7 típusú 2D/3D/4D ultrahang készülék

Használt SonoAce R7 típusú 2D/3D/4D ultrahang készülék

Eladó


megkímélt, újszerű, folyamatosan karbantartott, szervizelt

SonoAce R7 típusú 2D/3D/4D ultrahang készülék Color/Power/Pulzus Dopplerrel,

Dynamic MR képjavító programmal,

3 darab transducerrel.

  • 1 db 2-8 MHz Endovaginal vizsgálófej
  • 1 db 4-8 MHz 3D Convex abdominal vizsgálófej
  • 1 db 4-9 MHz 2D abdominal vizsgálófej
     
  • Live 3D (= 4D) modul – gépbe integrált
  • Dynamic MR Plus

Műszaki állapot: újszerű (jelenleg is használatban)

Eladó új készülékre váltás miatt a lenti képeken látható a Sonarmed által 2012. júniusban újonnan Magyarországon üzembe helyezett, végig rendszeresen karbantartott újszerű állapotú SonoAce R7 típusú szülészeti-nőgyógyászati ultrahang készülék három vizsgálófejjel. A készülékhez 3D/4D hasi, 2D nőgyógyászati hüvelyi és hasi vizsgálófejek és a szülészeti  mérőtáblák is aktiválva vannak.

+ Dynamic MR program.

Vizsgálófejek pontos típusai: 

  • 4-8 MHz-es 3D/4D hasi vizsgálófej (VN4-8)
  • 2-8 MHz-es 2D hasi vizsgálófej (C2-8)
  • 4-9 MHz-es 2D nőgyógyászati vizsgálófej (EV4-9/10ED)

 

Használt Samsung Medison SonoAce R7 típusú ultrahang készülék

1. kép Használt Samsung Medison SonoAce R7 típusú ultrahang készülék

 

Használt Samsung Medison SonoAce R7 típusú ultrahang készülék nőgyógyászati vizsgálófeje

2. kép Használt Samsung Medison SonoAce R7 típusú ultrahang készülék nőgyógyászati vizsgálófeje

 

Használt Samsung Medison SonoAce R7 típusú ultrahang készülék 2D/3D/4D hasi vizsgálófeje

3. kép Használt Samsung Medison SonoAce R7 típusú ultrahang készülék 2D hasi vizsgálófeje

 

Használt Samsung Medison SonoAce R7 típusú ultrahang készülék 2D vizsgálófejek csatlakozói

4. kép Használt Samsung Medison SonoAce R7 típusú ultrahang készülék 2D vizsgálófejek csatlakozói 

  

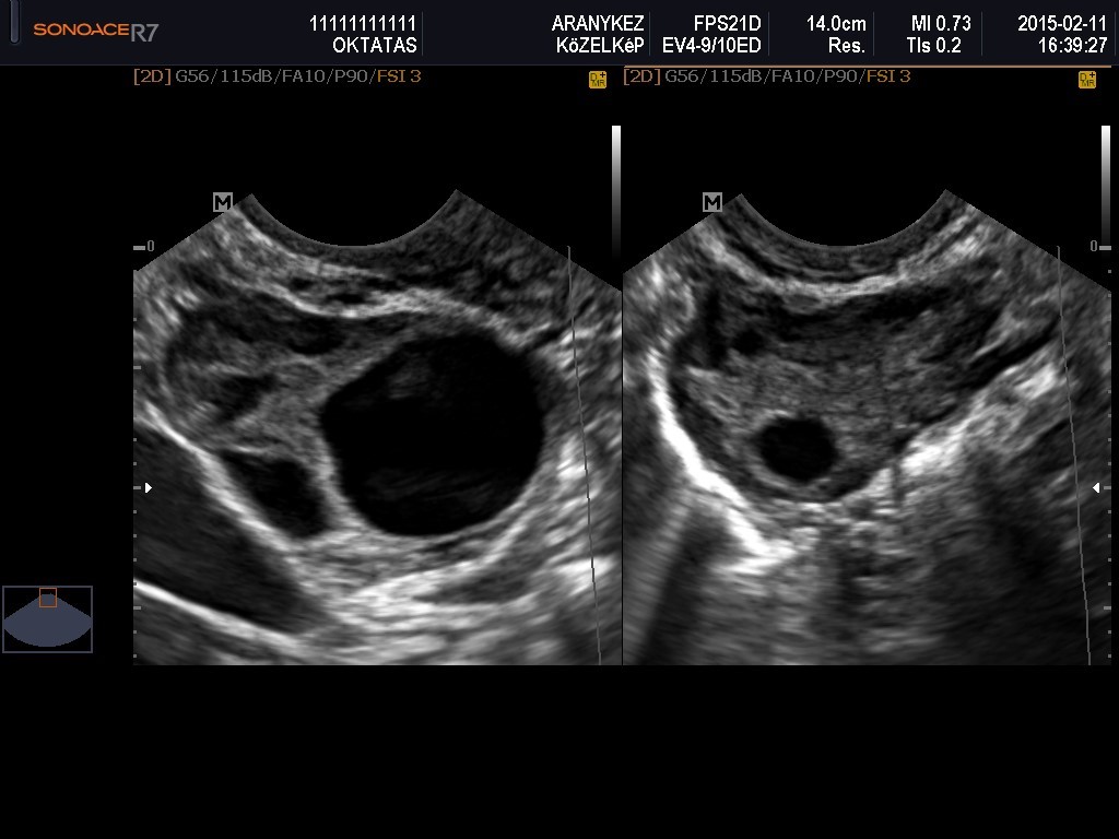
 Használt Samsung Medison SonoAce R7 típusú ultrahang készülék esetkép

5. kép Használt Samsung Medison SonoAce R7 típusú ultrahang készülék esetkép

  

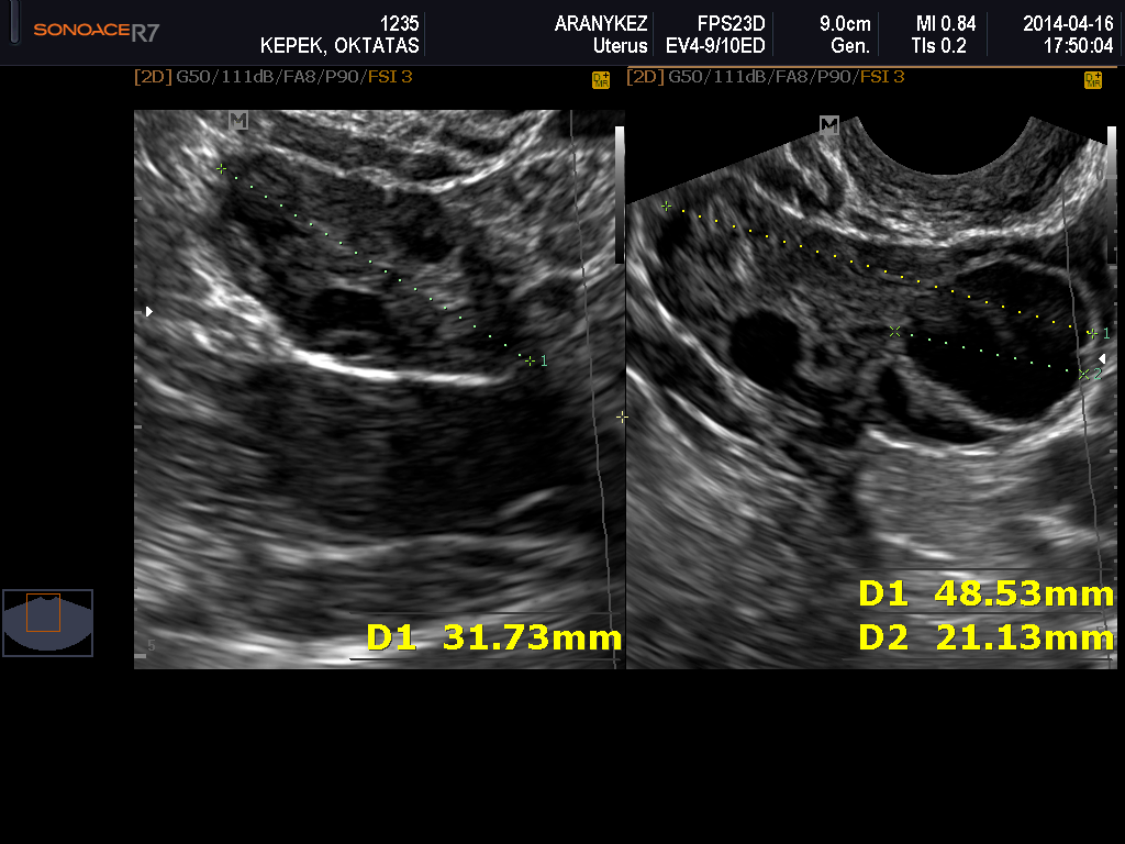
Használt Samsung Medison SonoAce R7 típusú ultrahang készülék esetkép

6. kép Használt Samsung Medison SonoAce R7 típusú ultrahang készülék esetkép

  

Használt Samsung Medison SonoAce R7 típusú ultrahang készülék esetkép

7. kép Használt Samsung Medison SonoAce R7 típusú ultrahang készülék esetkép

  

Használt Samsung Medison SonoAce R7 típusú ultrahang készülék esetkép

8. kép Használt Samsung Medison SonoAce R7 típusú ultrahang készülék esetkép

  

Használt Samsung Medison SonoAce R7 típusú ultrahang készülék 2D hasi vizsgálófeje

9. kép Használt Samsung Medison SonoAce R7 típusú ultrahang készülék 2D hasi vizsgálófeje